La fase ortopedico-funzionale in età di crescita

Il trattamento ortopedico-funzionale ha l’obiettivo di ridurre o di eliminare problemi scheletrici nel paziente in crescita come ad esempio:

Una volta erotti i denti permanenti, i problemi dentali che rimangono possano essere risolti più facilmente con una seconda fase di trattamento più breve e meno complicata con 

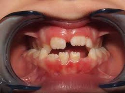
In altri termini, quando esiste una discrepanza tra i mascellari (ad esempio un palato molto stretto, che non consente la regolare eruzione degli incisivi laterali.

Oppure quando esiste un NON regolare combaciamento di un mascellare rispetto all’altro, la soluzione ideale è correggerla modificando la crescita in età prepuberale (dai 7 anni in poi; nelle III Classia anche prima, se la collaborazione del paziente lo permette) in modo che tale problema scheletrico si risolva nel corso dello sviluppo del bambino.

Lo sblocco di queste problematiche molto spesso si risolve con l’applicazione di un espansore rapido della sutura palatina, apparecchiatura fissa che nella maggior parte dei casi viene attivata dagli stessi genitori tutti i giorni a casa dopo aver ricevuto tutte le indicazioni e dimostrazioni necessarie. Tale apparecchiatura è, inoltre, indicata nei soggetti con problematiche respiratorie (respirazione orale- apnee). 

La “rapidità” dell’espansore si esprime solitamente in 4-5 settimane, al termine delle quali potrebbe rendersi necessaria l’applicazione di una apparecchiatura fissa limitata al settore anteriore per un periodo breve ma sufficiente ad allineare gli incisivi.

L’espansore resta comunque in bocca  per circa 5 mesi in modo tale da stabilizzare l’espansione e consentire la formazione di “nuovo osso” lungo la sutura espansa.

Nei casi di morso crociato anteriore o nelle III Classi dove è necessario favorire l’avanzamento del mascellare superiore,  lo stesso espansore viene utilizzato come ancoraggio per la maschera facciale.

La durata di questa fase è molto variabile e dipende sia dalla gravità della malocclusione scheletrica sia dalla collaborazione del paziente.

Terminata la fase ortopedica (espansore+/-fisso+/-maschera facciale), è sempre poi opportuno proseguire con apparecchiature rimovibili funzionali che impediscono la recidiva e, ricondizionando l’attività muscolare, sono in grado di direzionare lo sviluppo dei mascellari lungo vettori fisiologici di crescita. 

In questa fase potrebbe essere opportuno effettuare una Ortopanoramica di controllo per monitorare l’andamento della crescita dei denti permanenti, offrendo informazioni ulteriori ed aggiornate per orientare la terapia in corso.

In quest’ottica le apparecchiature funzionali diventano una sorta di “guide di crescita” per la dentatura, accompagnando il paziente fino alla dentatura permanente in un percorso di prevenzione di nuove problematiche occlusali.

Gli apparecchi rimovibili possono presentarsi come dispositivo unico ed agire contemporaneamente su entrambe le arcate dentarie, o una combinazione di due, uno superiore ed uno inferiore.


Possono non avere ganci (quindi “ballare in bocca” o andare “su e giù”), quindi essere privi di ritenzione. Questo aspetto può apparire strano, soprattutto ai genitori, in realtà nella bocca del bambino l’apparecchio entra subito nel circuito automatico della deglutizione della saliva: realizzando una corretta deglutizione (stringendo di denti e spingendo la lingua verso l’alto) il bambino lo ricattura tra le arcate, portando ogni singola componente dell’apparecchiatura a contatto dei denti su cui dovrà esprimere la sua specifica azione ortodontica. 

Le apparecchiature funzionali possono presentare ausiliari dedicati per ogni problematica ortopedica, ortodontica e muscolare: propulsori mandibolari, griglie o riposizionatori linguali, molle di allineamento e di livellamento.

Una alternativa possono essere allineatori rimovibili trasparenti da portare 22 h, tranne che ai pasti con bottoncini bianchi applicati sui denti.

Una volta arrivati alla dentatura completamente permanente, Il paziente avrà 12 nuovi denti a sostituire quelli da latte + quattro secondi molari che si aggiungono: in totale 16 nuovi denti che definiranno una nuova dentatura con possibili ed eventuali piccoli problemi di posizione (rotazioni, inclinazioni, lievi disallineamenti o difetti di ingranaggio). Sarà, pertanto, opportuno un aggiornamento diagnostico estetico e funzionale della nuova occlusione per una eventuale finalizzazione con allineatori sequenziali o apparecchiatura fissa multibracket, ormai limitata a casi particolari.

Apparecchiatura fissa multibracket

o allineatori trasparenti rimovibili sequenziali 

9 settembre 2024
L'ortodonzia invisibile rappresenta una rivoluzione nel campo dell'ortodonzia moderna, offrendo ai pazienti la possibilità di correggere i difetti dentali in modo discreto ed efficace. Questo innovativo trattamento si basa sull'utilizzo di apparecchi trasparenti e rimovibili, noti come allineatori, che vengono personalizzati per adattarsi perfettamente alla struttura dentale di ciascun paziente. A differenza degli apparecchi tradizionali, gli allineatori dell'ortodonzia invisibile sono praticamente invisibili agli occhi esterni, consentendo ai pazienti di sorridere con fiducia durante tutto il percorso di trattamento. Questo non solo elimina l'autocoscienza legata all'aspetto metallico degli apparecchi convenzionali, ma rende anche più agevole la routine di igiene orale quotidiana, poiché gli allineatori possono essere rimossi per mangiare e pulire i denti. Uno dei principali vantaggi dell'ortodonzia invisibile è la sua capacità di correggere una vasta gamma di problemi dentali, tra cui malocclusioni, sovrapposizioni, e spazi tra i denti, garantendo risultati estetici e funzionali superiori. Grazie alla tecnologia avanzata utilizzata nella progettazione degli allineatori, i pazienti possono beneficiare di un trattamento personalizzato e confortevole, con tempi di guarigione più rapidi rispetto ai metodi tradizionali.  Inoltre, l'ortodonzia invisibile offre una maggiore flessibilità rispetto ai trattamenti convenzionali, poiché gli allineatori possono essere facilmente rimossi per eventi speciali o incontri importanti. Questa caratteristica rende il trattamento ideale per chi desidera migliorare la propria salute dentale senza interrompere lo stile di vita abituale. In conclusione, l'ortodonzia invisibile rappresenta un'opzione all'avanguardia per chi cerca un sorriso perfetto in modo discreto e conveniente. Grazie alla sua efficacia, comodità e estetica superiore, questo innovativo approccio all'ortodonzia continua a guadagnare popolarità tra pazienti di tutte le età in cerca di un sorriso luminoso e ben allineato.
12 agosto 2024
La persistenza del succhiamento del dito in un bambino tra i 3 ed i 4 anni si trasforma in una abitudine scorretta che non bisogna sottovalutare e cercare di correggere. Basta offrire più attenzioni ed armarsi di pazienza.
30 luglio 2024
Il filo interdentale è l’unico mezzo in grado di rimuovere la placca batterica dagli spazi interdentali. Viene inserito delicatamente fra un dente e l’altro in modo da potersi adattare alla superficie interdentale dei denti contigui; una volta giunto a contatto con la superficie del dente, viene premuto su questa e rimosso verso l’alto in modo da trascinar via la placca batterica.Va utilizzato prima dello spazzolino in modo che quest’ultimo poi possa finire di rimuovere completamente la placca batterica che il filo ha snidato dagli “anfratti “interdentali.
30 luglio 2024
L’alitosi, se di origine buccale, spesso è causata da una cattiva igiene orale, fumo, alimentazione scorretta.
30 luglio 2024
No, lo sbiancamento professionale non fa male ai denti; deve però sempre essere preceduto da una seduta di igiene orale e da una visita odontoiatrica volta a valutare la condizione di salute del cavo orale e dei denti.
30 luglio 2024
Spesso la placca batterica si riconosce ad occhio nudo. Si annida al colletto dei denti o fra un dente e l’altro dove si può vedere una patina bianco-giallastra spesso associata ad infiammazione delle gengive che appaiono gonfie ed arrossate. Un metodo efficace per visualizzare la placca batterica è l’uso delle compresse rivelatrici di placca. Queste compresse sono costituite da un colorante che si salda alle sostanze della placca evidenziandole in modo molto netto.
30 luglio 2024
Sì, è sempre necessario per la pulizia degli spazi interdentali. Nelle persone affette da parodontite può essere sostituito dallo scovolino interdentale. Esistono poi dei fili specifici per i portatori di protesi fissa come il superfloss o montati su forcelle per facilitarne l’utilizzo nelle zone posteriori.
30 luglio 2024
Per pulirsi bene i denti è indispensabile l’uso dello spazzolino, manuale o elettrico. Dentifricio e colluttori sono degli ottimi ausili, anche se non indispensabili. Lo spazzolamento deve essere sistematico e riguardare tutte le superfici dentali. Per poter far cio’ il tempo necessario è almeno 4-5 minuti. I denti vanno puliti anche negli spazi interdentali e l’unico mezzo per farlo è usare il filo interdentale.
30 luglio 2024
No, in nessun caso. Se esiste un affollamento, con il tempo peggiora e se c’è un problema scheletrico può complicarsi con la crescita. A che età bisogna iniziare un trattamento ortodontico? Dipende dalla gravità della malocclusione, a volte anche molto precocemente se esistono problemi scheletrici importanti o abitudini viziate (succhiamento del dito, difetti di deglutizione o fonazione ecc.). Si parla allora di ortodonzia intercettiva. Una persona adulta può effettuare un trattamento ortodontico? Assolutamente sì, previa valutazione clinica, radiologica ed estetica.
30 luglio 2024
La perdita di un dente è sempre un evento che modifica in peggio l’equilibrio della nostra bocca. A parte l’eventuale danno estetico, la mancanza di un dente determina una serie di fenomeni compensatori negativi a carico dei denti rimanenti. Lo spazio edentulo tende a chiudersi, il dente antagonista a quello mancante (il dente che “ci masticava contro”) tende ad estrudere (uscire dall’alveolo): la masticazione perde la sua iniziale armonia. Maggiore il numero dei denti mancanti, più ampie le modifiche descritte. Rimettere il dente mancante è quindi un rimedio necessario per evitare questo decadimento della bocca. Cosa è meglio per sostituire il dente? La domanda oggi si pone perché si è diffusa l’implantologia e quindi posizionare impianti (che sono le “radici”artificiali dei denti mancanti) è divenuta una metodica comune. L’implantologia è un’alternativa alla protesi tradizionale, quella che si appoggiava ai denti contigui allo spazio edentulo, che venivano rimpiccioliti e ricoperti per consentire il posizionamento di un “ponte”. La scelta fra queste due possibilità è demandata alla valutazione dello specialista che decide nel singolo caso quale sia la metodica con maggiori possibilità di successo e con il minor costo possibile (sia biologico che economico) per il paziente. Ogni caso è un caso a se’, ma esistono delle regole generali. Escludendo tutte le rare condizioni di salute generale compromessa (e di rifiuto psicologico irrazionale) che sconsigliano la chirurgia orale e che quindi devono essere trattate con la protesi tradizionale, negli altri casi si opta per quest’ultima quando i denti contigui allo spazio edentulo sono già di per sé candidati ad essere ricoperti. Non avrebbe senso allora posizionare un impianto vicino a denti comunque incapsulati che avrebbero potuto reggere un ponte tranquillamente. Al contrario,se i denti vicini al dente mancante fossero integri, sarebbe un costo biologico non giustificato limarli per costruire il “ponte”. Tutte le condizioni in cui l’implantologia richiede metodiche chirurgiche aggiuntive (ricostruzione di mascellari atrofici, per es.) vanno valutate attentamente per una possibile alternativa protesica non impiantare. Per contro denti con stabilità compromessa dalla parodontopatia, anche se integri, possono non essere buoni pilastri di ponte e la protesi supportata da impianti diviene la prima scelta. Quando i denti mancanti sono numerosi, la scelta diviene ulteriormente più difficile perché l’alternativa si pone fra protesi fisse su base implantare e protesi mobili (ad appoggio mucoso,dentale o misto) quindi due risultati non propriamente sovrapponibili. I criteri decisionali si complicano ulteriormente ed il fattore economico (il costo dell’implantologia e della protesi) diviene spesso discriminante. Possiamo concludere ripetendo che la scelta finale di “cosa è meglio per sostituire un dente” è sicuramente demandata allo specialista che, essendo l’unico ad avere presenti tutti i criteri della decisione stessa, deve sforzarsi di chiarirli al paziente dopo averli valutati egli stesso con competenza, onestà e completezza.